腹部CT
腹部CT
CT
Computed Tomography
进步
多层螺旋CT优点
- 短:时间短,憋一口气从胸部到盆腔。扫描快,运动伪影少,可以一个心电周期内扫心脏
- 薄:层厚薄,0.5mm
- 长:从头到脚,可以对长病变完整成像
- 优:图像质量好,各向同性
- 省:X线剂量少
发展方向:解剖图像->功能成像
扫描模态
- x线:平片
- 超声
- CT
- 平扫:无造影剂。扫描前空腹,喝清水或碘水充盈胃肠
- 增强:静脉注射显影剂
- 目的
- 增加肝组织和正常组织差别
- 判别病灶性质
- 鉴别正常血管
- 目的
- MRI
- 核素
- 介入:穿刺,DAS
窗位
肝解剖
人体最大的实质性器官,成人约1~1.5kg,有解毒。。。功能
位置:大部分右季肋,腹上区。小部分左季肋。悬吊在膈肌下方
形态:右厚左薄,楔形
血供
- 入
- 肝动脉
- 肝门静脉:腹部脏器的静脉血从肝门静脉进入肝脏
- 血流量:70%~75%
- 供氧量:50%
- 从胃肠吸收的营养物质
- 出
- 肝静脉
肝小叶
胆总管
- 十二指肠上段
- 十二指肠后段
- 胰腺段:胰腺后方
- 十二指肠壁段:穿入十二指肠内
肝胰壶腹:胆总管十二指肠内开口和胰管汇合形成,周围有Ossid括约肌,控制胆汁和胰液流出,并防止十二指肠内容物反流
投影:在体表判断肝脏大小
- 上界:从右到左
- 右锁骨中线:第5肋
- 正中线:胸骨体和剑突结合部
- 左锁骨中线:5 6肋间
- 下界
- 右肋弓内
- 剑突下能摸到3cm
判断肝脏大小要综合上下界。上界叩诊
- 肺:清音
- 肺肝重合:浊音
- 肝:实音
bismuth分段
- 纵向中肝静脉分左右,右肝静脉分右前后,镰状韧带分左内外
- 从右到左:右肝后(右肝静脉)右肝前(中肝静脉)左肝内(镰状韧带)左肝外
- 纵向门静脉左右支分上下两份
中心1,其他顺时针标号
解剖标记
- 第一肝门上方中肝静脉,右肝静脉
- 门静脉左支分左肝上下
- 门静脉右支分右肝上下
- 顺时针在片子里是左到右
肝切
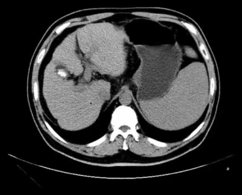
肝CT
- 40~60HU,高于胰,脾
- 肝内管道系统(胆管,肝动脉静脉和门静脉)低于实质,周围小分支多不显示。大血管呈低密度树状影
- CTA
正常肝重要结构
疾病
- 肝硬化:肝功不全,门脉高压
- 门脉高压:容易形成血栓
- 门静脉直径超15mm
- 伴随脾脏增大
- 脾脏横向超过5个肋单元
- 纵向看不到肝就应该看不到脾
- 侧枝循环
- 胆囊结石:正常胆囊里面液体应该和胃内部类似
- 肝门内胆囊里有高密度影
- 胆囊炎:
- 胆囊壁模糊
- 肾结石
- 在集合系统, 空腔附近
- 囊肿:
- 壁薄。有张力 -> 边界清晰
- 内部液体密度:<10HU,类似胃密度
- 内部密度均匀
- CTA不强化
相关视频和网站:
- https://www.bilibili.com/medialist/play/ml1422834132/BV1gf4y1X77T?spm_id_from=333.999.0.0&oid=286950890&otype=2
- https://www.startradiology.com/internships/general-surgery/abdomen/ct-abdomen-general/index.html
All Rights Reserved.












































